Høyhælte sko kan gi kroniske fotplager

De er lekre å se på, men kan trolig skape varige endringer og store smerter i føttene.
(Illustrasjonsfoto: www.colourbox.com)

− Kvinner som bruker høyhælte sko daglig over flere år risikerer å pådra seg varige feilstillinger og kroniske smerter i føttene, sier overlege i ortopedi Grethe Borchgrevink ved St. Olavs Hospital.

− Vi har gode grunner for å anta at mange fotplager skyldes bruk av høyhælte sko, men det mangler studier som har vist denne sammenhengen med god vitenskapelig metode, sier hun.

Flest kvinner under kniven

− Bruk av pumps gir stor belastning i forfoten og flertallet av de som opereres for fotplager ved sykehuset her er kvinner, sier Borchgrevink.

I løpet av fem år fra 2005-2011, var 88 prosent av de som ble operert for den vanligste fotlidelsen, Hallux valgus, kvinner. Liknende tall er rapportert i studier fra andre land.

Hallux valgus er en lidelse der stortåa har blitt bøyd innover mot midtlinjen av foten.

− Årsaken til stortåas feilstilling kan skyldes at foten blir skutt framover på grunn av den steile vinkelen høyhælte sko skaper.  Dette medfører et press på forfoten. I tillegg er skoene ofte veldig smale, noe som fører til avsmaling av foten, forklarer Borchgrevink.

En studie fra Boston fant at mange av kvinnene med denne diagnosen også hadde brukt høye hæler.

Tærne kroker seg

Hammertå er også en vanlig fotlidelse. Hammertå kjennetegnes av at småtær, oftest den ved siden av stortåa, kroker seg. Det vanligste er at det midterste leddet i tåa kroker seg oppover og ytterste leddet nedover slik at tåa inntar en hammerstilling. Dette fører til trykksmerter over de små leddene i tærne. Det kan også oppstå fortykkelse av huden under tåballen. Smertene kan bli intense.

Hammertå kan forklares av at det har skjedd en forstyrrelse av trekk-kraften som fotmuskelens sener utøver på tærne.

− Bruk av høyhælte sko kan ødelegge et fint samspill mellom de scenene som ligger over og under tærne, forklarer Borchgrevink.

86 prosent av de som ble operert på St. Olavs Hospital i perioden 2005-2011 var kvinner.

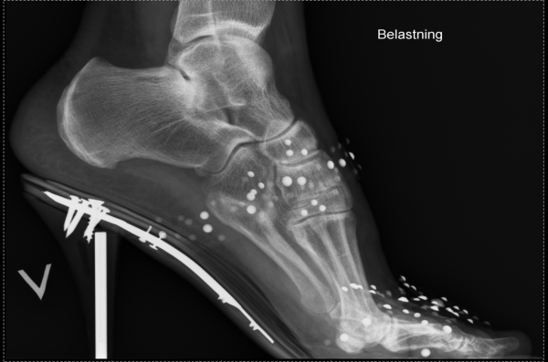
Høyhælte sko gir uheldig belastning på forfoten og kan føre til kroniske smerter i tærne. (Foto: St.Olavs Hospital)

Nerveknute

En konsekvens av trykket på forfoten er at nervene som går ut til tærne blir utsatt for trykk og klem, noe som irriterer nerven og dermed utløser smerte. Over tid kan dette føre til at det oppstår en nerveknute, en fortykkelse av nervedelingsstedet under forfoten. Dette kalles Mortons nevrom, også en veldig vanlig fotlidelse som gir nervesmerter og nummenhet og i tærne.

På St. Olavs Hospital var 86 prosent av de som ble operert for denne lidelsen mellom 2005 og 2011 kvinner.

Låser leddet

Under ankelleddet finnes et universalledd, et ledd med bevegelse over flere akser. Når vi tråkker med hælen først, åpnes dette leddet og dermed blir foten klar for å ta i mot belastningene av kroppens vekt. Dette leddet låses når bare forfoten er nede i bakken. Låsningens funksjon er å gi en stiv vektarm som akillessenen kan arbeide over for fraspark. Et låst ledd vil imidlertid være ugunstig i mottaket av kroppsvekta.

Med andre ord: Hvis du tråkker med forfoten først, slik man gjør med høyhælte sko, låses det leddet som skal ta i mot kroppens vekt, noe som gjør leddet i dårligere stand til dette. Dette kan igjen føre til slitasje i universalleddet.

− Jeg synes det kan være interessant å se om kvinner som har brukt høyhælte sko over tid har smerter som resultat av slitasje i dette leddet, sier Borchgrevink.

Nytt prosjekt

Borchgrevink er derfor nå i gang med et forskningsprosjekt om temaet.

I prosjektet skal hun undersøke og sammenlikne to grupper kvinner. Den ene gruppen har brukt sko med minst fem centimeter høye hæler daglig i minst fem år. Den andre gruppen kvinner har aldri brukt høyhælte sko på jobb. Studien har 100 deltakere i hver gruppe.

Forsker og seminar

Grethe Borchegrevink er overlege og ortoped ved St. Olavs Hospital i Trondheim.

Hun er en av innlederne på seminaret "Kropp, kjønn, helse og sårbarhet" som holdes i Oslo 21. mai.

Aktuelle lenker

Siste saker

Kalender

Nyhetsmagasinet

Vårt nyhetsmagasin er en uavhengig nettavis og medlem i Fagpressen.